2026-03
- «
- 1
- 2
- 3
- 4
- 5
- 6
- 7
- 8
- 9
- 10
- 11
- 12
- 13
- 14
- 15
- 16
- 17
- 18
- 19
- 20
- 21
- 22
- 23
- 24
- 25
- 26
- 27
- 28
- 29
- 30
- 31
|
カレンダー
リンク
カテゴリー
最新CM
[11/30 cixyrqn]
[11/30 ilxxbfhmpzh]
[11/30 ihnkyrnvhn]
[11/30 gzsiux]
[11/30 ytsuonbq]
最新TB
プロフィール
HN:
naoko
年齢:
45
性別:
女性
誕生日:
1981/03/13
職業:
主婦/看護師
趣味:
おしゃべり!
自己紹介:
2007年5月15日初めての
男の子を出産! そして、2009年5月14日 第二子の次男を出産☆
カウンター
ブログ内検索
最古記事
アクセス解析
|
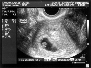
× [PR]上記の広告は3ヶ月以上新規記事投稿のないブログに表示されています。新しい記事を書く事で広告が消えます。 9ヶ月(32週と5日) 体重:2072g BPD(頭を上から見た耳から耳の幅のような感じ):84.6㎜ FTA(お腹の断面):60.8平方㎝ FL(大腿骨長 太ももの骨の長さ):61.2㎜ 9ヶ月(35週と2日) 体重:2583g BPD(頭を上から見た耳から耳の幅のような感じ):90.2㎜ FTA(お腹の断面):72.8平方㎝ FL(大腿骨長 太ももの骨の長さ):64.8㎜ 久しぶりの記事アップです ![]() なんだかあっという間にGW終わってしましましたね~ ![]() きのうは雨のせいでだらけてしまって、記事書く予定ができませんでした ![]() ダンナっちには『雨降って ナオコ 動かず』といわれています・・・ ![]() さてさて、5月2日(35週と2日)の内診では、 子宮口が1センチ開いてきてることが発覚 先生に「もう少し入れておいてよ 張ったら休まなきゃダメ」と言われ、 薬 まで出されました。子宮の筋緊張状態をやわらげて、早産を防止 するんだそうです。 「慣れるまでは心臓がドキドキしたり、 手が震えたりしますけど、大丈夫ですから」 と先生から説明を受けて、家で飲んでみると、 ほんとにドキドキ して、手もピクピク してきて、なんかラリった妊婦状態で不思議でした。 今週に入って、だいぶ慣れたようでそんなにラリっては いないけど、飲んでから1時間くらいは運転を控えています ![]() ベイビー自体は2500gをすでに超えて、動きも活発で元気にしています ![]() 1センチ開いてもなかなか進まないこともあるし、どうなるかはわかりません ![]() でも、ベイビーがお腹から出てきて自分で呼吸をするために、 必要な肺のサーファクタント(界面活性物質)の分泌は、妊娠33~36週ころから になります。 哺乳反射といって、ベイビーがおっぱいを飲むための反射的に吸い付く能力は 32~34週で完成するそうです。 網膜の血管が完成するのは35週前後だそうです。 つまり、わたしは今週臨月(36週)に入りましたが、 やっぱり正期産である37週からの出産が望ましいみたいです ![]() ![]() 医療も発達してきてるし、 ほぼ完成しているので生きられないことはぜんぜん無いんですけど、 十分に成長して「時」が満ちて生まれるのが一番みたいですね~ ![]() 「はやく会いたいけど、あと3週間くらいお腹の中にいてね~」 とベイビーに言っています ![]() 薬をもらってから、「張り」を意識するようになったんですけど、 けっこう張るんですよね~ 張るとなんとも動きづらい ![]() パンパンで重みのある厚手のゴムボール を持って歩くような・・・そして、 膀胱圧迫![]() ![]() ![]() トイレ行くにも駆け込む動作がつらい 歩けない![]() 、走れない![]() ![]() 悲惨な結末 ![]() ![]() ![]() ![]() を迎えまいとして、キュッと閉める運動をせざるをえなくなります・・・ ![]() PR
5ヶ月(18週と5日) 体重:262g BPD(頭を上から見た耳から耳の幅のような感じ):46.8㎜ FTA(お腹の断面):15.9平方㎝ FL(大腿骨長 太ももの骨の長さ):22.7㎜ 6ヶ月(22週と5日) 体重:602g BPD(児頭大横径 頭を上から見た耳から耳の幅のような感じ):57.6㎜ FTA(体幹横断面 お腹の断面):26.6平方㎝ FL(大腿骨長 太ももの骨の長さ):38.1㎜ まだこの頃は顔と上半身が収まっていました。 検診は妊娠23週までは、4週に一度なのでドキドキとワクワクです。 ちゃんと成長してるかなあなんて考えて行って、 心音をきいたり、エコーを見て毎回安心と喜びがわいてきます(*^_^*) たった4週で、体重は3倍近くにも!かわいいなあ☆ 6ヶ月の検診日ダンナっちは仕事だったから、 エコー写真を携帯で撮って送ると、 『目ん玉でてない!?』 と返事が返ってきました。 眼球がそう見えるんだろうけど、目のとても細いダンナっちには 衝撃的だったんですね(^。^;) 胎動を初めて感じた日をわたしはわかりません・・・ メモにとるなり、日記にかくなりすることをすっかり忘れてしまって、 今となって後悔<<o(>_<)o>> ダメな母親めっ と思いつつも、わたしらしいと感じ笑っています(^_^;) 12月の末に友達に、 「腸の動きか!?って思うのはあるんだけどまだよくわかんない」 と言ったのを覚えているので、12月の終わりから1月にかけての あたりなんでしょうね。 いつの間にかポッコポッコしていました! ベイビーこんなママだけどよろしく└|∵|┐♪┌|∵|┘ 6ヶ月までは、普通にそれまで履いていたジーンズも入っていたんだけど、 6ヶ月終わるころには、急に入らなくなってビックリしました~ 食生活の変化も特になかったです。 あ、ポテトチップスあまり自分で 買わなかったのに、1週間くらいブームの時期がありました!妊娠による影響かな!? 今、ベイビーはしゃっくりをしているみたいです |
|




まで出されました。
して、手もピクピク
してきて、




パンパンで重みのある厚手のゴムボール
膀胱圧迫
歩けない
、走れない







に、他は栃木
、東京
、カナダ
とそれぞれの
」と深く思えるようになり、
」

