2007年5月、はじめての妊娠・出産を経験し
ただいま育児を楽しく奮闘中!
そして、2009年5月14日第二子出産★
そんなわたしの赤ちゃん日記♪
2026-03
- «
- 1
- 2
- 3
- 4
- 5
- 6
- 7
- 8
- 9
- 10
- 11
- 12
- 13
- 14
- 15
- 16
- 17
- 18
- 19
- 20
- 21
- 22
- 23
- 24
- 25
- 26
- 27
- 28
- 29
- 30
- 31
|
カレンダー
リンク
カテゴリー
最新CM
[11/30 cixyrqn]
[11/30 ilxxbfhmpzh]
[11/30 ihnkyrnvhn]
[11/30 gzsiux]
[11/30 ytsuonbq]
最新TB
プロフィール
HN:
naoko
年齢:
45
性別:
女性
誕生日:
1981/03/13
職業:
主婦/看護師
趣味:
おしゃべり!
自己紹介:
2007年5月15日初めての
男の子を出産! そして、2009年5月14日 第二子の次男を出産☆
カウンター
ブログ内検索
最古記事
アクセス解析
|
× [PR]上記の広告は3ヶ月以上新規記事投稿のないブログに表示されています。新しい記事を書く事で広告が消えます。 妊娠検査薬で妊娠反応がプラス PR
16時56分に宇都宮駅に着きました☆
ソラは窓からパパを見つけてうれしそうに「パパ~パパ~♪」と叫んでパパに抱っこしてもらいましたo(^-^)o ソラはず~っと大興奮でキーキーチーパー喜んでいましたが、いまおにぎりを食べてコロッと寝てしまいました(^-^) 佐野までまだ少しあります。何気に距離あるんだよね~ |
|

。
(私の苦手なコト
的から外れてしまうことが…
他の人どうやってるか見てみたい
)
次に問診。
先生 「妊娠ね~自分で検査はした~?」
1年半ぶりにこの気合いの入りすぎないシャベリ方イイネぇ
私「はい
陽性でした
違うって何が?
私「…えっと、その前は…8月25日くらいです…たぶん…ハイ…」
先生「じゃあそっちだ。じゃあ診察台乗って下さい。診察室Aに入ってね」
なんだかドキドキ
しながら診察台へ。
今は座るだけで自動に台が動いてビヨーンと足が
開かれるのもあるんだけど私の行ってる病院は、
自分でよっこらしょっと台に寝て開脚しなくてはいけません…
先生やナースサイドからは患者さんの顔は見えないように
カーテンがあるけど何度登ってもイヤなものです…
しかも毎回「もう少し前です。もう少し足開いて下さい」
なんて言われちゃいます
もうこの台に乗る時から妊婦さんの大変さは始まるなぁと思います。
男性はめったに、知らないおじさんの前でこんな格好する
ことないもんねぇ
そして、経膣エコーで赤ちゃんがいるか見ました
カーテン越しに先生第一声。
先生「もう大きいよ。」
私「…!?!???」
少しカーテンを開けてモニターを見せてもらってビックリ
という
気持ちがわいてきました
思わず口に出して「かわいい!」と言いたくなりましたけど、
前回ソラのエコーを見た時に「かわい~」
と言ったら先生に「まだわかんないけどね
」とハッキリ
言われたことを思い出したのでやめました~
そんなこんなで検査終了。
先生がピピピと計算してくれて予定日は2009年6月1日。
次の日から12週つまり4か月に入るということでした。
母子手帳をもらいに行くための書類をもらってお会計。
なんかソラの時は妊娠がすぐ発覚したから母子手帳もらうまで
結構時間あったのに今回は一回目の受診時でこの展開
ありがたいけど自分の鈍さにビックリです
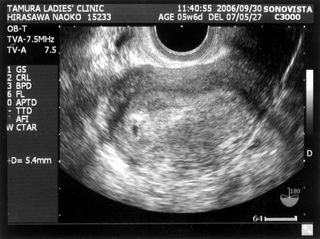
ちなみにこれは
、そらの一回目の検診時のエコーです。
4週の時です。ちいちゃい!

から帰ってきてから二日がたちました
を覚えていたようです
だいぶ記憶力がついてくるんですねぇ
を休んで公園や買い物に連れて行ってくれました


と遊べるのも最後になっちゃいました
は聴診器で弟の頭を診察
していました